
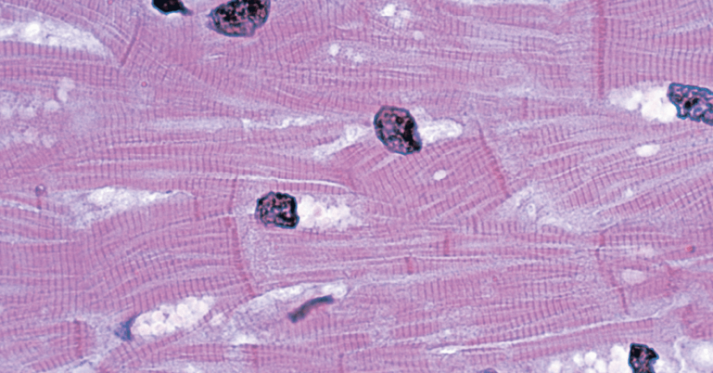
Ah, se para ver o coração fosse tão simples como naqueles desenhos animados em que o personagem puxa o fecho e se despe tranquilamente para exibir-se como veio ao mundo — às vezes com os órgãos à mostra.
Na vida real, porém, precisamos das artimanhas tecnológicas — e da sensibilidade médica — para aferir como anda o músculo cardíaco, cujas tramas, que lembram até a costura de um zíper, você visualiza ao lado. É graças a exames como o eletro e o ecocardiograma que sabemos se está tudo bem dentro do peito.
Dados sobre o coração
6 240 litros por dia
É o volume de sangue bombeado pelo coração de um adulto ao longo de 24 horas — trabalho ininterrupto.
32% das mortes no mundo
são atribuídas às doenças cardiovasculares — elas representam a maior causa de óbitos do planeta.
Newsletter
Receba, toda semana, as reportagens de Veja Saúde que mais deram o que falar.
Inscreva-se aqui
para receber a nossa newsletter
Cadastro efetuado com sucesso!
Você receberá nossas newsletters em breve.
Clique aqui para entrar em nosso canal no WhatsApp
Fonte.:Saúde Abril


